Permanent Teeth. Full Smile. Total Confidence.
Advanced full-mouth rehabilitation and full-arch dental implants designed to restore how you look, eat, and live — all in one comprehensive plan.
Who is this for?
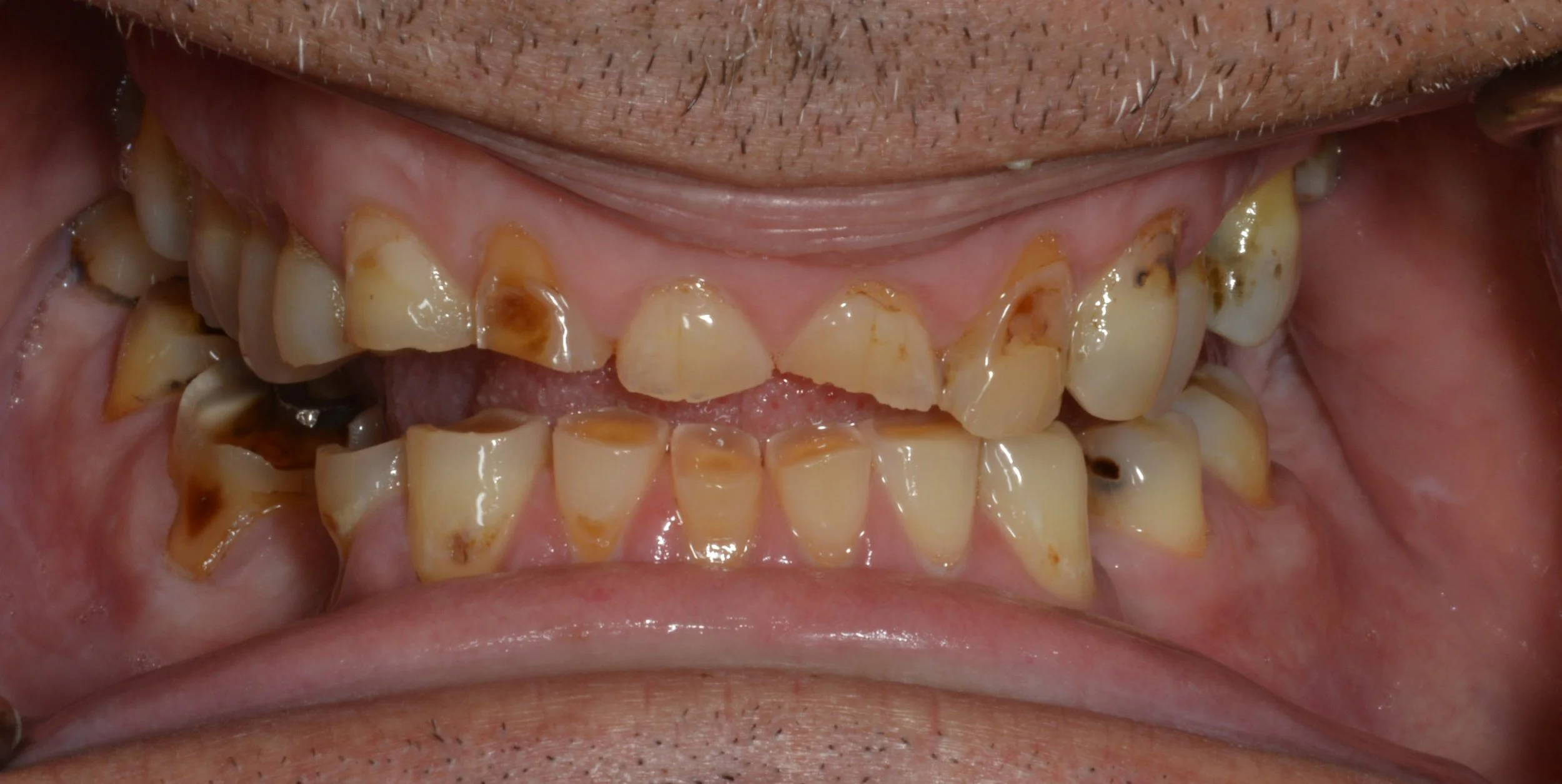
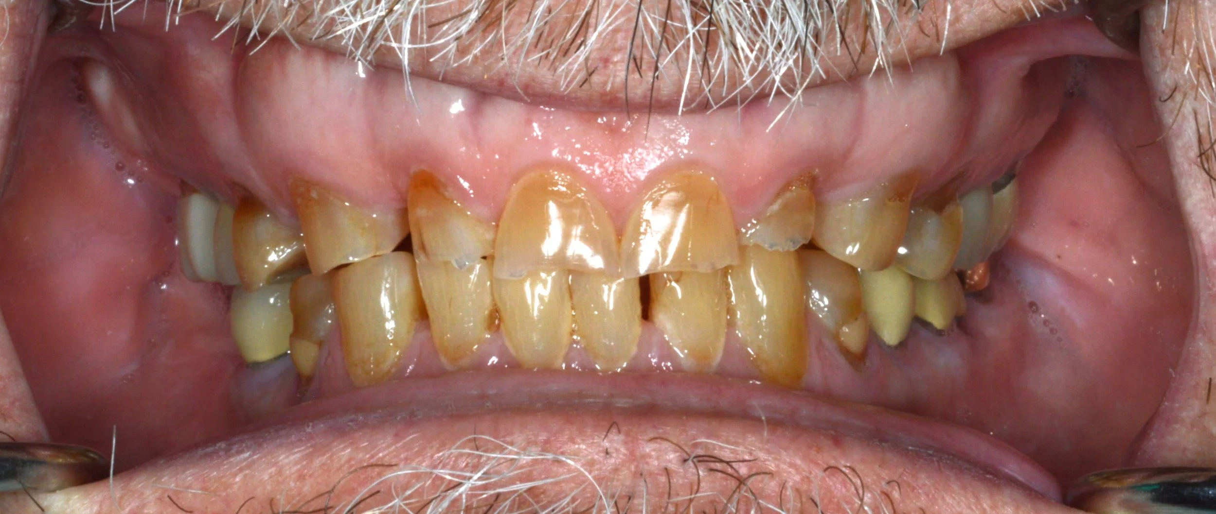
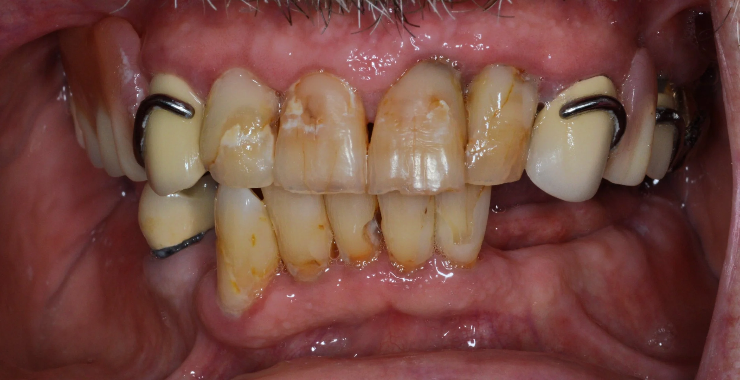
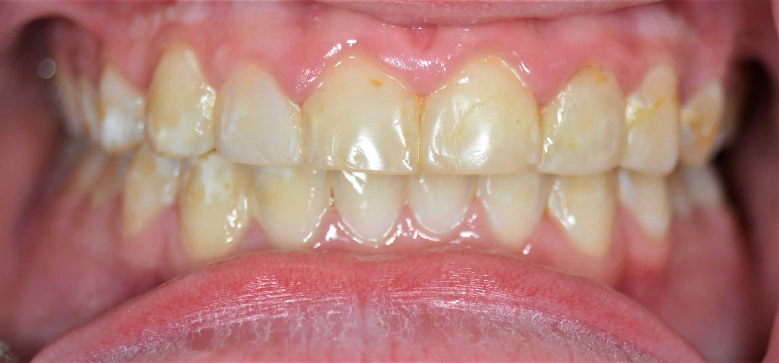
Multiple failing or missing teeth
Loose, uncomfortable, or embarrassing dentures
Constant dental work that never seems to last
Difficulty chewing or avoiding certain foods
Embarrassed to smile or speak confidently
Want a long-term, stable solution — not patches
If you’re looking for bargain dentistry or quick cosmetic fixes, this page probably isn’t for you.
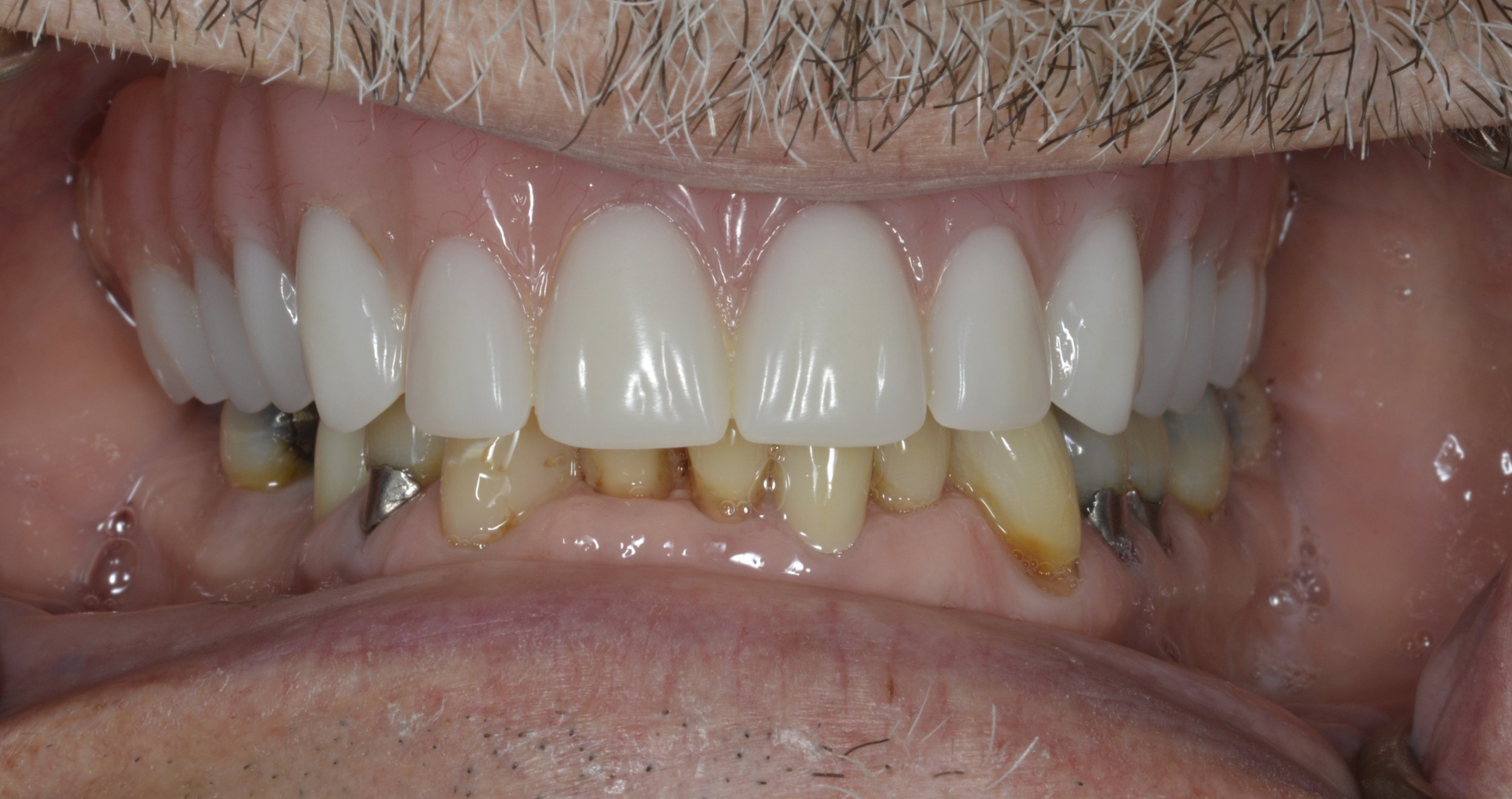
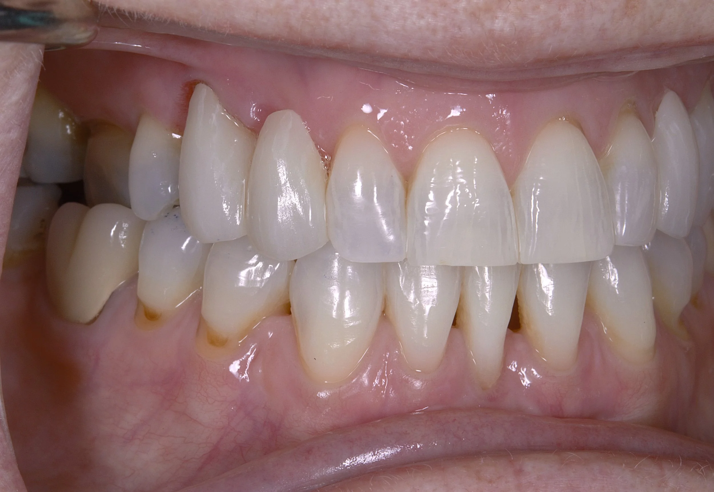
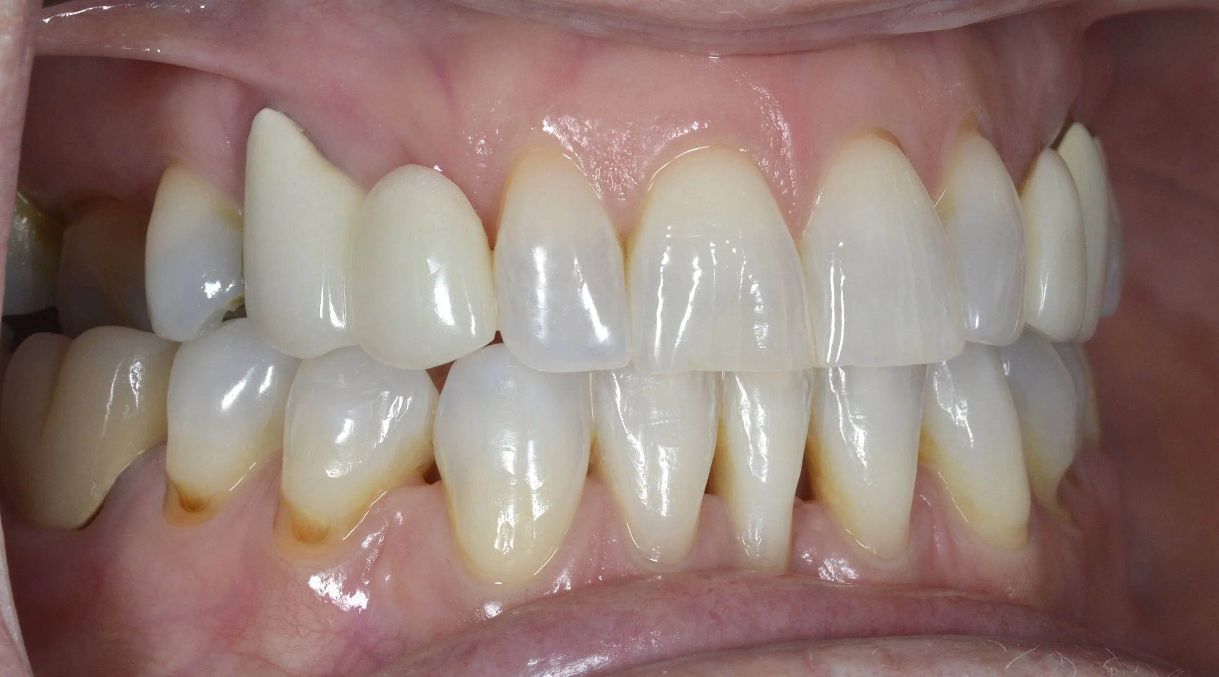
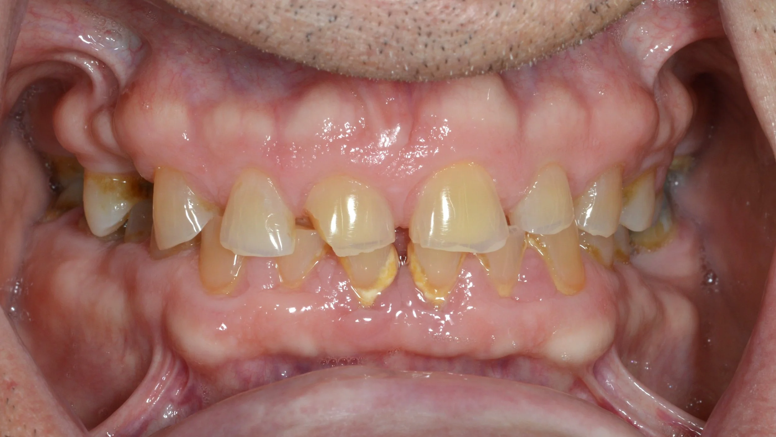
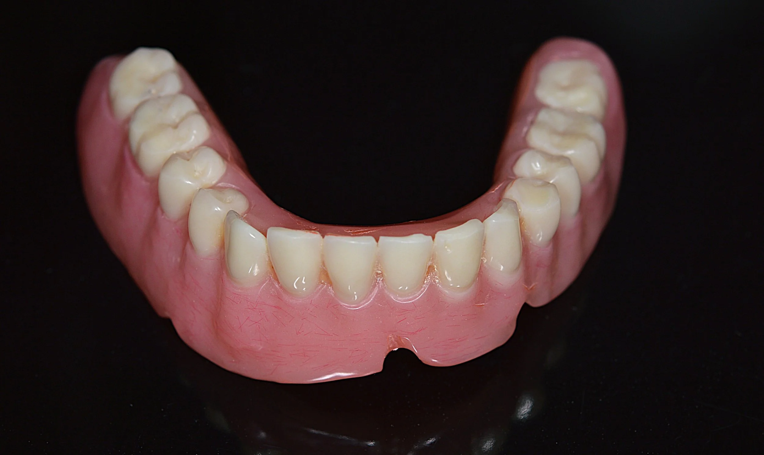
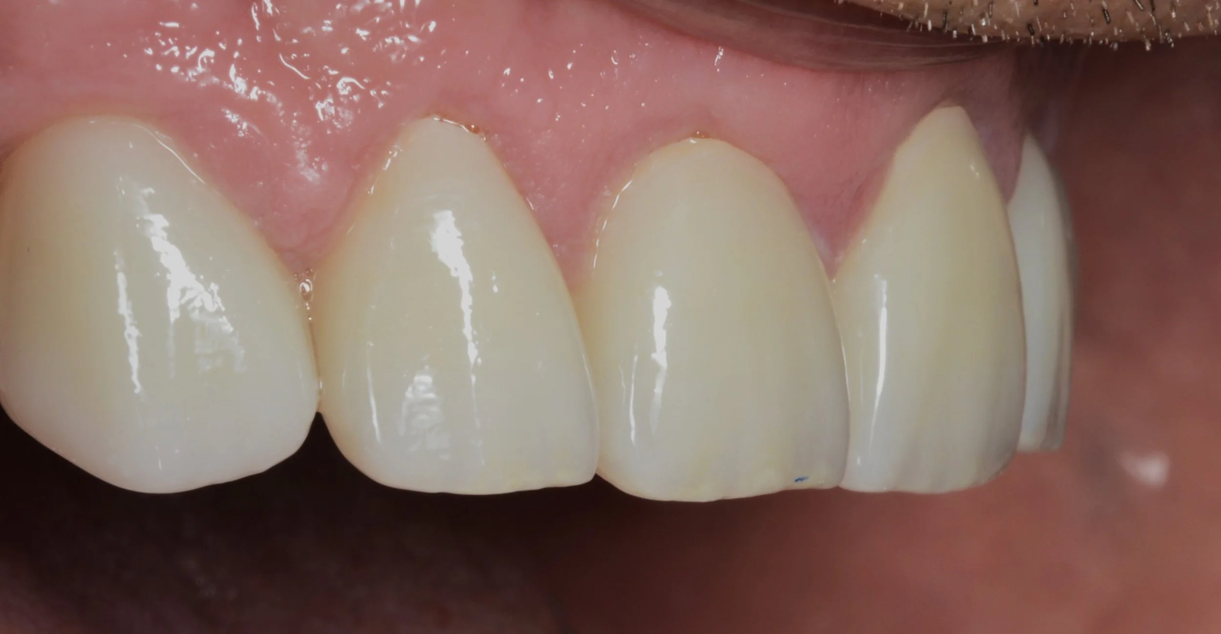
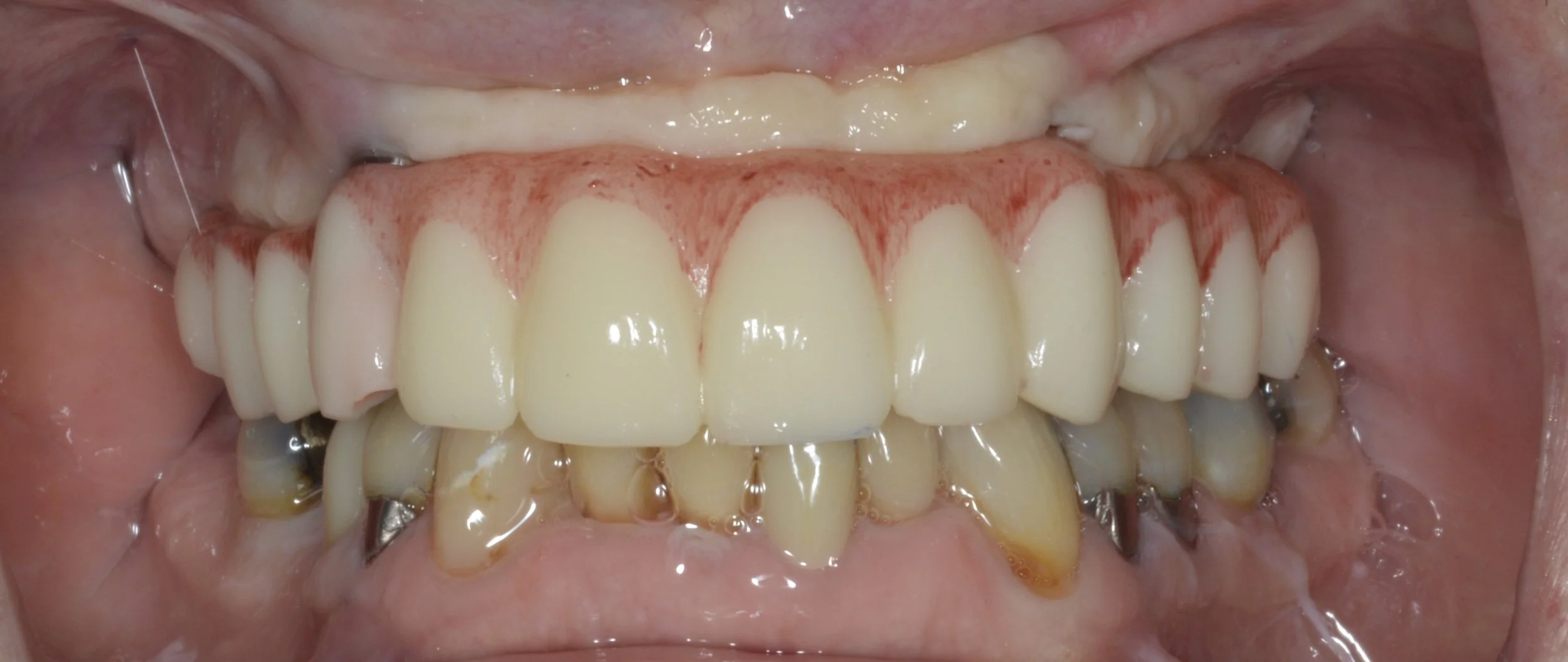
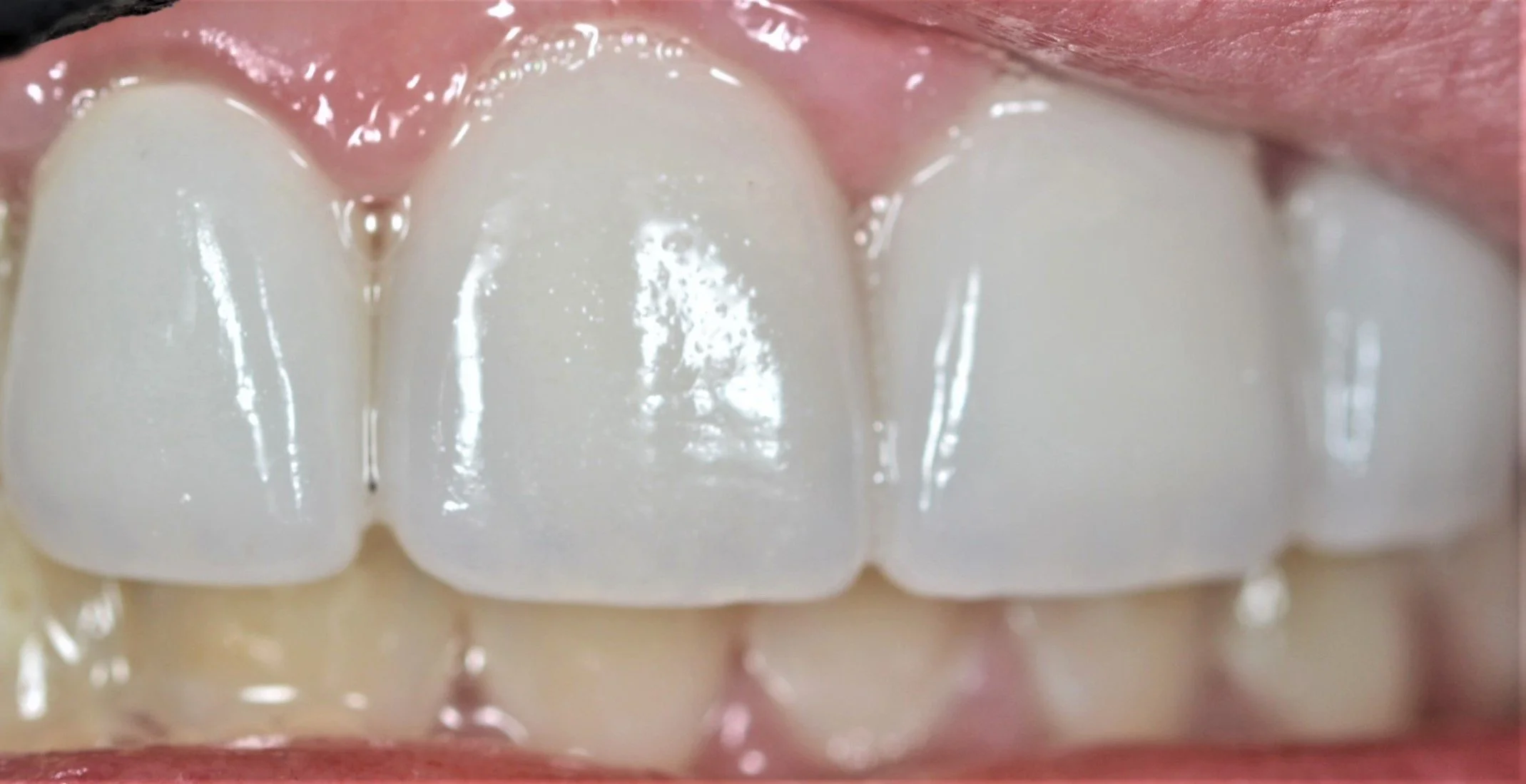
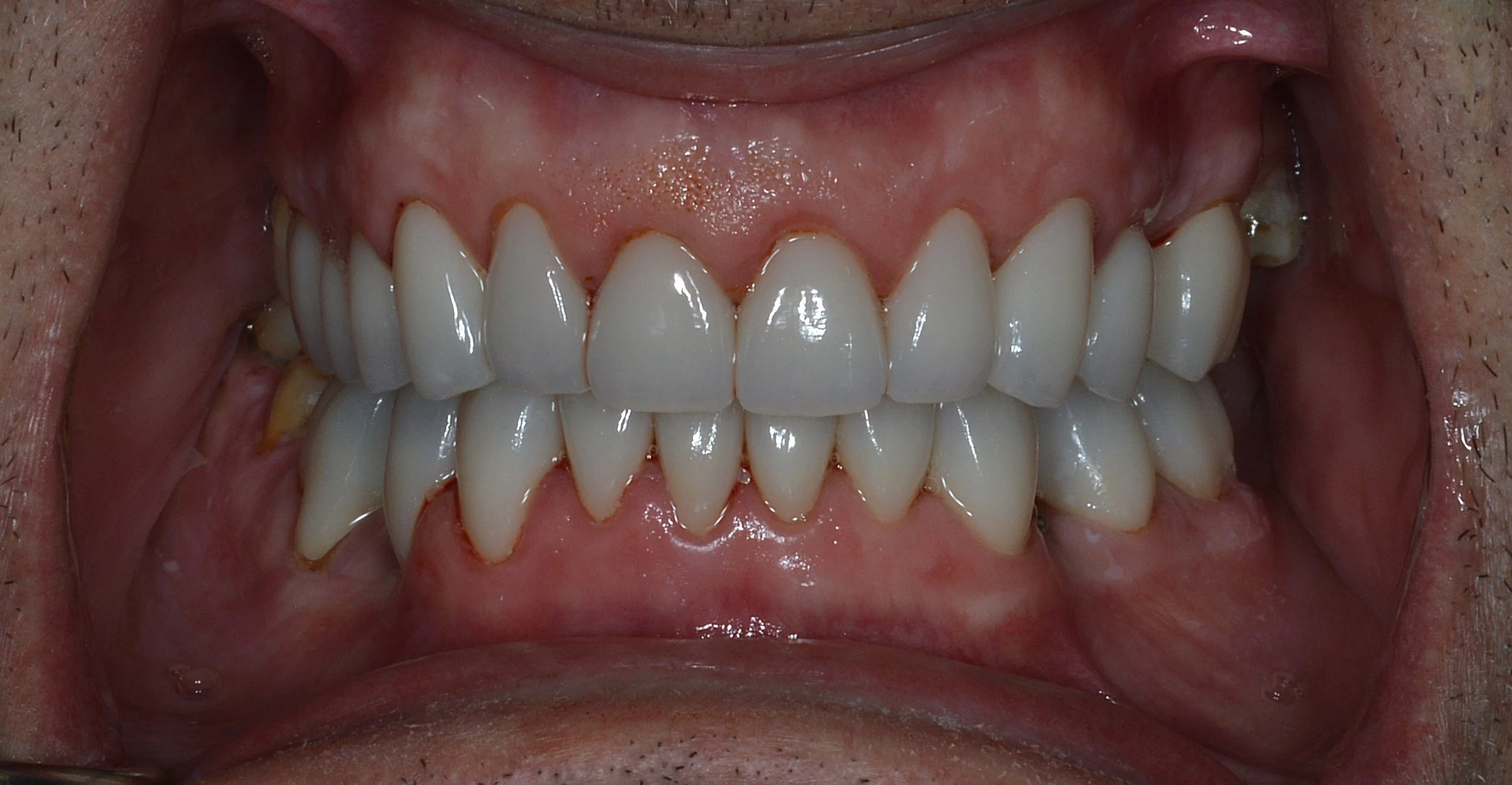
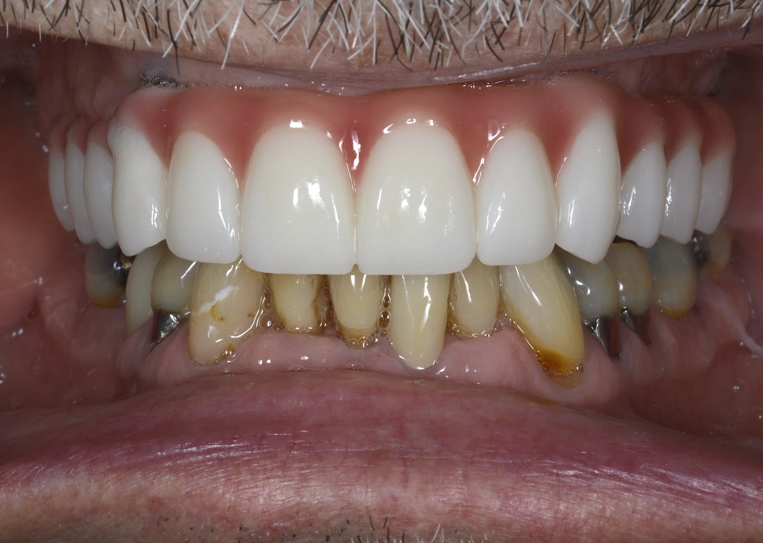
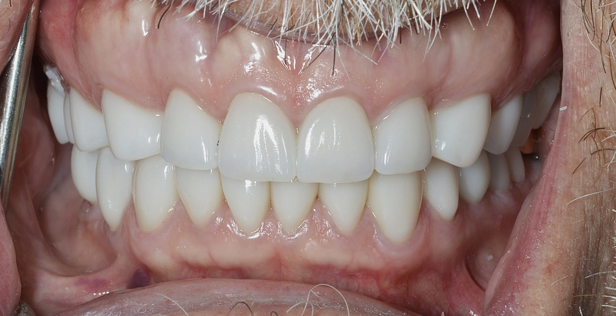
Full-mouth rehabilitation is a comprehensive approach to rebuilding your entire smile — not just fixing individual teeth as they fail. Whether through full-arch implants, implant-supported bridges, or a combination of advanced techniques, the goal is long-term stability, function, and confidence.
Most patients we see are tired of “fixing one tooth at a time.”
Why Patients Trust Dr. Austin
Dr. Jonathan Austin focuses on advanced implant and full-mouth reconstruction cases, combining surgical precision with restorative expertise. His work includes full-arch implant solutions and complex rehabilitations that require careful planning and execution.
Advanced training in full-arch implant dentistry
3D CBCT-guided surgical planning
Digital workflow for precision and predictability
Hybrid and full-mouth cases completed in-house
Honest, no-pressure recommendations
Not everyone needs full-mouth implants — and you’ll be told honestly if you don’t. In most cases it’s better to restore your existing teeth.
WHAT THIS FIXES
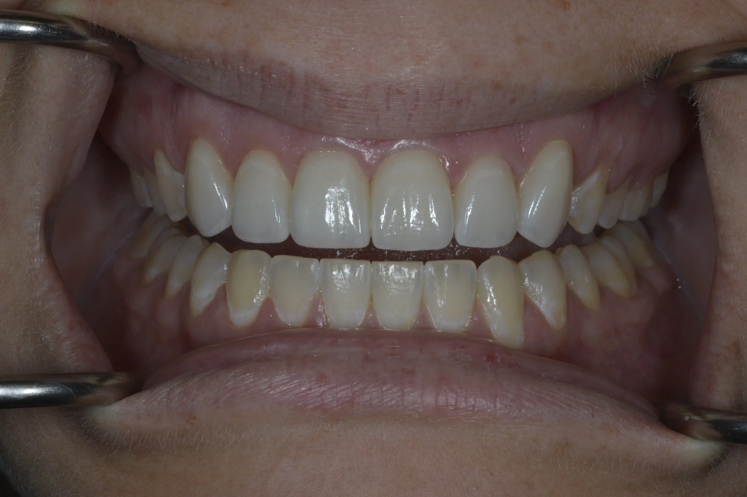
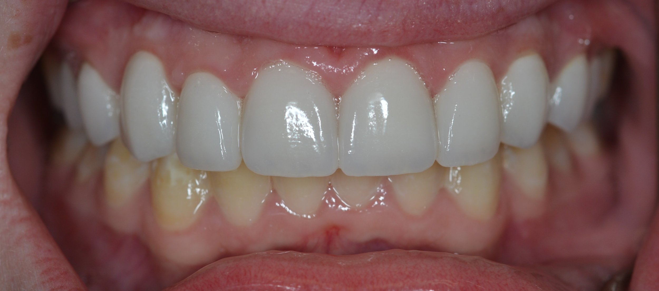
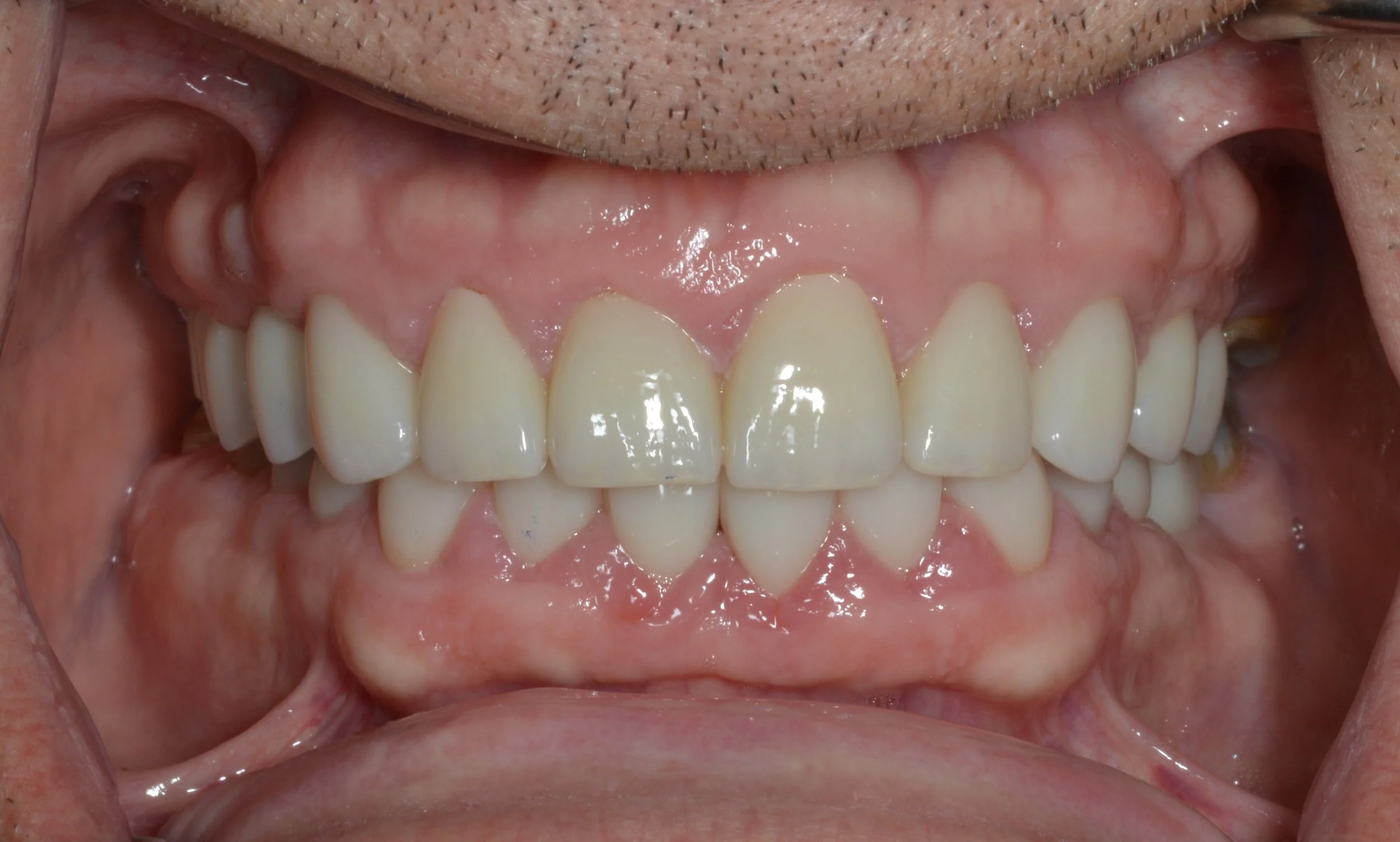
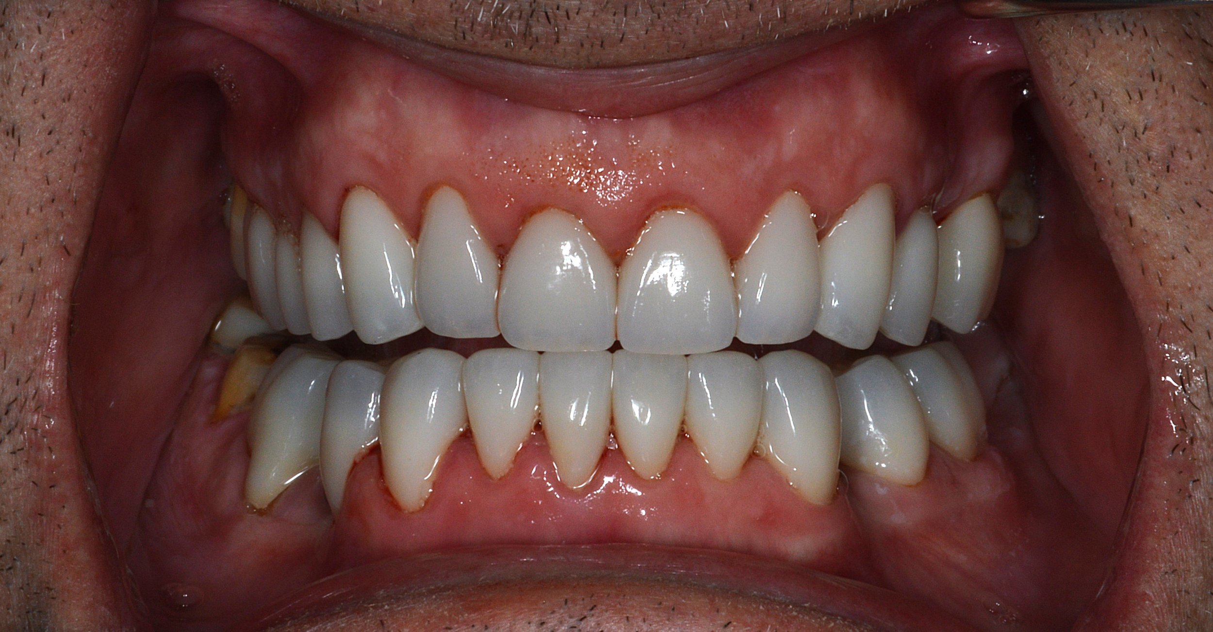
What Full-Mouth Treatment Can Change
Eliminate loose or painful dentures
Restore the ability to chew normally
Improve facial support and appearance
Reduce ongoing dental repairs and emergencies
Restore confidence in social and professional settings
WHAT THE VISIT INCLUDES
This Is Not a Sales Appointment. Your evaluation is designed to give you clarity — not pressure.
Digital intraoral scan
One-on-one consultation with Dr. Austin
Clear explanation of options and timelines
Discussion of investment and financing options
3D CBCT imaging
THE PROCESS
What to Expect
1. Evaluation
3D imaging, digital scan, and full consultation
2. Planning
Custom treatment plan tailored to your goals and anatomy
3. Transformation
Full-arch implants or rehabilitation completed with precision
4. Long-Term Stability
Designed for durability, function, and confidence
THE CONSULT
Your Full-Mouth Evaluation
This visit is designed to give you clarity about your options — whether that includes full-arch implants, implant-supported bridges, or alternative solutions.
Includes
CBCT scan
Digital scan
Doctor consultation
Personalized treatment plan
Financial and timeline review
COMMON QUESTIONS
Questions We Hear Every Day
Am I too old for dental implants?
Age alone does not disqualify you. Overall health, bone quality, and goals matter more.
What if I’ve been told I don’t have enough bone?
Advanced planning and modern techniques often allow solutions even when bone loss is present.
Can I be comfortable or asleep for treatment?
Yes. Comfort and anxiety management options are available and discussed at your evaluation.
Do you offer financing?
Yes. Financing options are available and reviewed during your consultation.
What if implants aren’t right for me?
You’ll be told honestly. Our goal is the right solution — not the most expensive one.
If my teeth are savable, how long will it take?
Each case is different but if we are just using the existing teeth, then 4-6 months. If we have to use an interdisciplinary approach, (Braces, Implants, Restorative, Periodontal) then it could take up to 18 months start to finish.
